Highly trained doctors, awarded and certified by the most famous medical research universities in the world, with experience in the most complicated cases, are here to help our patients.
Our Departments
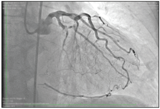
Cardiac Catheterisms, including Coronary Arteriography
Chronic Total Occlusion Percutaneous Coronary Intervention: Chronic total occlusion is defined as a complete obstruction of the coronary artery with a period of more than 3 months. It occurs in 18 to 54% of patients who undergo cardiac catheterizations. despite optimal medical management, 85% of patients remain symptomatic (Chest Pain, Shortness of breath, Tiredness, etc.) only 10% of these are taken to chronic total occlusion Percutaneous Coronary Intervention, taking into account that when has expertise, the success rate of the procedure is more than 90%, only 1 to 2% of interventional cardiologists in the United States have training in angioplasty of chronic total occlusions. This is why many of these patients are left under medical management.
Intravascular Ultrasound (IVUS)
Intravascular Ultrasound (IVUS) is an intravascular imaging modality primarily used in interventional cardiology to characterize lesion morphology, quantify plaque burden, guide stent sizing
Coronary Angioplasty
Chronic Total Occlusion Percutaneous Coronary Intervention: Chronic total occlusion is defined as a complete obstruction of the coronary artery with a period of more than 3 months. It occurs in 18 to 54% of patients who undergo cardiac catheterizations. despite optimal medical management, 85% of patients remain symptomatic (Chest Pain, Shortness of breath, Tiredness, etc.) only 10% of these are taken to chronic total occlusion Percutaneous Coronary Intervention, taking into account that when has expertise, the success rate of the procedure is more than 90%, only 1 to 2% of interventional cardiologists in the United States have training in angioplasty of chronic total occlusions. This is why many of these patients are left under medical management.
Chronic Total Occlusions
Chronic total occlusion (put this picture) is defined as a complete obstruction of the coronary artery with a period of more than 3 months. It occurs in 18 to 54% of patients who undergo cardiac catheterizations. despite optimal medical management, 85% of patients remain symptomatic (Chest Pain, Shortness of breath, Tiredness, etc.) only 10% of these are taken to chronic total occlusion Percutaneous Coronary Intervention, taking into account that when has expertise, the success rate of the procedure is more than 90%, only 1 to 2% of interventional cardiologists in the United States have training in angioplasty of chronic total occlusions. This is why many of these patients are left under medical management.
TAVI (Transcatheter Aortic Valve Implantation)
TAVI (Transcatheter Aortic Valve Implantation) Is a minimally invasive procedure to replace the aortic valve in patients with severe aortic stenosis. Damage Aortic valve.
Functional Reserve Flow (FFR and DFR)
Fractional flow reserve (FFR) is a diagnostic technique used in coronary catheterization. FFR measures pressure differences across a coronary artery stenosis (narrowing, usually due to atherosclerosis) to determine the likelihood that the stenosis impedes oxygen delivery to the heart muscle (myocardial ischemia
Valvular Angioplasty (Mitral and Aortic)
Balloon valvuloplasty is a cardiac intervention to open up a stenotic or stiffed heart valves (e.g., aortic or mitral) using a catheter with a balloon on the tip. It is also known as balloon valvotomy. It is a less invasive procedure because it is done by inserting a catheter into the blood vessel from groin percutaneously rather than valve replacement with cardiothoracic surgical or other open methods.
Pulmonary Arteriography and Lung Thrombectomy
Pulmonary Angiogram and lung Thombectomy: Pulmonary angiography requires direct contrast injection into the pulmonary and It is used to find a blood clot. Pulmonary embolism (PE) is a serious and prevalent cause of vascular disease. Pulmonary Embolism Response Team (PERT). Such a team can help determine which in the best intervention.







